プレスリリース
骨との結合が3倍速くなるコーティング法を開発
矯正歯科用骨膜下デバイスなどで患者の負担軽減を目指す
バイオセラミックスグループの菊池 正紀グループリーダーと東京医科歯科大学(学長:大山 喬史)の上園 将慶大学院生、高久田 和夫教授(生体材料工学研究所)、森山 啓司教授(医歯学総合研究科顎顔面矯正学分野)らの研究グループは、骨との結合が3倍速くなるコーティング法の開発に成功しました。
矯正歯科用骨膜下デバイスは生体への侵襲が小さいという点で優れていますが、骨の表面上で骨と結合する必要があるため、水酸アパタイトのコーティング処理をしても、治療に利用出来るまでには最短でも3ヶ月程度の待機時間が必要でした。そこで、この時間を短縮するために、物質・材料研究機構と東京医科歯科大学は共同して、デバイスの形状の最適化と新しいコーティング法を共同で開発したところ、従来のデバイスの3ヶ月後と同じ骨被覆率を1ヶ月で実現するコーティング法を確立しました。
本研究成果はJournal of Biomedical Materials Research Part B: Applied Biomaterialsに米国時間4月2日にオンライン掲載されました。
本研究成果はJournal of Biomedical Materials Research Part B: Applied Biomaterialsに米国時間4月2日にオンライン掲載されました。

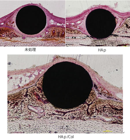
手術後4週間の組織標本写真。上の二つはチタン材料(黒)と骨組織(茶色く染まっている)の間に軟組織(ピンク色に染まっている)が介在しているが、下のHAp/Colでは材料と骨が直接結合している。
記事・報道
■新聞
日刊工業新聞(2013年4月9日20面)
日本経産新聞(2013年4月9日14面)
日経産業新聞(2013年4月9日10面)
科学新聞(2013年5月3日2面)
本件に関するお問い合わせ
国立研究開発法人物質・材料研究機構
ナノアーキテクトニクス材料研究センター(MANA)
生体機能材料ユニット グループリーダー
Tel:029-860-4503
Fax:029-860-4714
E-Mail:KIKUCHI.Masanori=nims.go.jp
([ = ] を [ @ ] にしてください)